Estima-se que esse v�cio do cigarro mate mais de 8 milh�es de pessoas anualmente no mundo, de acordo com estimativas da OMS, sendo 7 milh�es de fumantes ativos e cerca de 1,2 milh�o de pessoas expostas � fuma�a do cigarro, os fumantes passivos

Ant�nio Carlos de Abreu, de 61 anos, trocou o cigarro pela atividade f�sica. Ele come�ou a fumar aos 12 anos
Arquivo PessoalOs benef�cios � sa�de de Ant�nio Carlos foram imediatos. Seu paladar melhorou significativamente, o preparo f�sico se fortaleceu e ele passou a se engajar em uma rotina de exerc�cios mais intensa, incluindo corridas semanais de 15km, pedaladas de 40km em estradas de terra e caminhadas regulares de 12km.
O v�cio
Preju�zos � sa�de

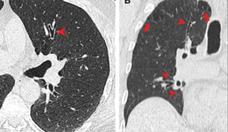
Marcos de Abreu, pneumologista da Funda��o S�o Francisco Xavier, ressalta que uma das principais doen�as associadas ao tabagismo � a pulmonar obstrutiva cr�nica (DPOC)
Arquivo Pessoal
*Para comentar, fa�a seu login ou assine