
Sento para escrever este texto. Come�o. Estou indo bem, j� tenho 100 palavras. Na verdade, acho que esta �ltima frase talvez n�o esteja clara. Deleto. Acabo apagando tudo. Como fa�o para voltar? P�gina em branco. Mente em branco. Os minutos passam. Eu checo o telefone. � imposs�vel me concentrar!
� muito prov�vel que no �ltimo ano e meio voc� tenha sentido algo semelhante ao realizar alguma atividade.
- Pandemia criar� tsunami de desmotiva��o e faltas ao trabalho, alerta psic�loga
- Pandemia 'n�o � hora de ser superm�e ou superpai', diz especialista em 'burnout parental'
Se for o caso, n�o se preocupe. Voc� n�o est� sozinho. Temos um c�rebro pand�mico.
N�o se trata de um termo cl�nico, mas � assim que alguns cientistas chamam a s�rie de males que nosso c�rebro est� sofrendo como resultado da pandemia.O estresse cr�nico e os longos per�odos de confinamento n�o afetaram apenas nossa capacidade de mem�ria e concentra��o. Alguns especialistas acreditam que � poss�vel que algumas �reas do nosso c�rebro tamb�m tenham diminu�do de tamanho.
Mas ser� que vamos ficar assim para sempre?
Estresse prolongado
Os especialistas concordam que o principal respons�vel pelas mudan�as na nossa mente � a longa exposi��o ao estresse por tanto tempo, o estresse cr�nico.
"H� n�veis 'bons' de estresse. Se voc� precisa completar uma tarefa em um prazo apertado, uma vez que voc� completa, o estresse vai embora. Tudo acaba", exemplifica Michael Yassa, neurologista do Centro de Neurobiologia da Aprendizagem e Mem�ria da Calif�rnia, nos EUA.

"Mas quando o fim n�o est� � vista, e o estresse continua por uma sess�o prolongada, se torna problem�tico", explica Yassa � BBC News Mundo, servi�o de not�cias da BBC em espanhol.
� isso que est� acontecendo com a gente na pandemia. Vivemos um estado prolongado de espera, de confinamentos e relaxamentos, restri��es e medidas de prote��o sem saber quando vamos recuperar o que hoje chamamos de normalidade.
O estresse prolongado libera cortisol e, se voc� tiver problemas cont�nuos com esse horm�nio, ele pode afetar o volume de algumas �reas do c�rebro.
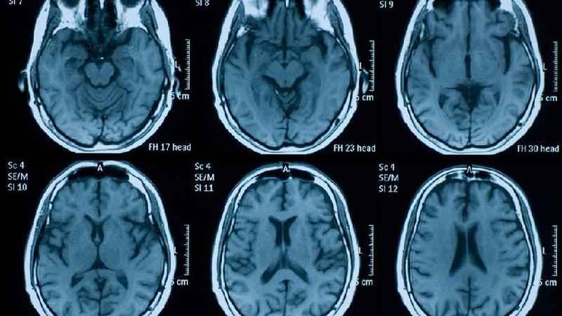
A neuropsic�loga Barbara Sahakian, da Universidade de Cambridge, no Reino Unido, tem analisado os efeitos do distanciamento social e da ansiedade durante a pandemia em nossa massa encef�lica.
"Por meio de exames de imagem de pessoas socialmente isoladas, detectamos mudan�as no volume das regi�es temporal, frontal, occipital e subcortical, assim como no hipocampo e na am�gdala", conta Sahakian � BBC News Mundo.
"J� no passado, n�veis elevados e prolongados de cortisol foram associados a transtornos de humor e encolhimento do hipocampo. Isso � observado especialmente em pacientes com depress�o", acrescenta.
Em 2018, por exemplo, um estudo publicado na revista cient�fica Neurology, da Academia Americana de Neurologia, mostrou que um alto n�vel de cortisol em pacientes estava associado a uma mem�ria e percep��o visual pior, assim como a volumes mais baixos de massa cinzenta total, occipital e do lobo frontal.
E essas mudan�as de volume, como as detectadas por Sahakian, podem afetar diretamente as atividades que realizamos no dia a dia.
"Esse conjunto de problemas que afetam a sa�de mental e geram depress�o e ansiedade � o que estamos chamando coloquialmente de c�rebro pand�mico", ressalta Yassa.
Como o c�rebro pand�mico nos afeta no dia a dia?
Sahakian d� um exemplo muito comum.
"Voc� para o carro em um estacionamento de v�rios n�veis em um shopping. Voc� volta depois de v�rias horas. Por um momento, voc� se perde e n�o consegue lembrar onde deixou o carro. O hipocampo � a �rea do c�rebro respons�vel por implementar essa mem�ria, justamente uma das �reas mais afetadas pelos efeitos da pandemia."

O hipocampo tamb�m est� envolvido nos processos de aprendizagem. Al�m disso, � uma �rea que normalmente se deteriora com a idade.
"� por isso que os idosos podem ser mais vulner�veis, embora tamb�m tenhamos detectado que as crian�as podem sofrer atrasos no desenvolvimento social e de linguagem", argumenta Sahakian.
Mas os efeitos do chamado c�rebro pand�mico v�o muito al�m de um leve comprometimento da mem�ria ou decl�nio na capacidade de aprendizagem.
H� muitos receptores que s�o sens�veis ao cortisol, por isso v�rias redes neurais s�o afetadas, o que se revela em nossas poss�veis oscila��es de humor frequentes, sentimentos de medo ou incapacidade de concentra��o, de realizar v�rias tarefas ao mesmo tempo ou tomar decis�es sem hesita��o.
Isso se deve ao seu impacto no sistema l�mbico e na am�gdala, sendo esta �ltima respons�vel por nos fazer sentir emo��es.
"Muitos pacientes descrevem uma sensa��o de 'n�voa cerebral' e se queixam que n�o tomam mais decis�es da mesma forma que faziam antes", explica Yassa.
Naturalmente, essa carga psicol�gica tamb�m � acompanhada por consequ�ncias fisiol�gicas irremedi�veis.
"A depress�o e a ansiedade afetam nosso sono, alteram nosso apetite e causam fadiga", acrescenta o neurologista.

N�o afeta a todos da mesma forma
Como em tudo, o c�rebro pand�mico � mais suscet�vel em algumas pessoas do que em outras. Aqui, entram em cena a resili�ncia individual e o n�vel de estresse a que estamos submetidos.
Quem padeceu com o isolamento social n�o sofre tanto quanto algu�m que perdeu um familiar ou conhecido, ficou desempregado ou foi infectado.
Nestes casos, al�m do estresse cr�nico, tamb�m pode surgir o estresse p�s-traum�tico, aumentando a instabilidade da sa�de mental, a depress�o, o sofrimento e a ansiedade.
"Alguns de n�s mostraram mais resili�ncia e criaram estrat�gias durante o confinamento para nos mantermos saud�veis, como seguir uma rotina de exerc�cios f�sicos. Mas, para os mais afetados, pode ser mais dif�cil seguir esse tipo de atividade", diz Sahakian.
"A autogest�o do estresse � algo pessoal que nem todos n�s alcan�amos da mesma forma. Todos n�s j� tivemos estresse em nossas vidas. Se conseguimos super�-lo, esse estresse pode at� ser bom em certo ponto", completa.
� poss�vel se recuperar?
Yassa quer acreditar que � poss�vel superar as mudan�as sofridas, mas reconhece que n�o ser� da noite para o dia — e que vai demorar.
"As pessoas superam desastres naturais ou a perda de entes queridos, por isso tamb�m devemos superar isso. Mas primeiro a causa precisa desaparecer", esclarece.
"� medida que as liberdades forem recuperadas, e as pessoas retomarem o contato social, todos n�s vamos melhorar", acrescenta Sahakian.

Enquanto esperamos pelo retorno � normalidade, os especialistas aconselham adotar algumas t�cnicas para trazer de volta nossas fun��es cognitivas.
"Precisamos nos desafiar com jogos de mem�ria para recuper�-la, assim como aprender coisas novas", recomenda a neuropsic�loga.
Yassa acredita que devemos nos concentrar em criar uma esp�cie de "harmonia de ritmos".
"Levantar da cama na mesma hora, comer regularmente e fazer exerc�cio f�sico d� ao c�rebro uma chance melhor de se recuperar."
Mas embora essas atividades possam ser suficientes para muitos, Sahakian reconhece que alguns de n�s podem precisar da ajuda de profissionais.
J� assistiu aos nossos novos v�deos no YouTube? Inscreva-se no nosso canal!
Leia mais sobre a COVID-19
- Vacinas contra COVID-19 usadas no Brasil e suas diferen�as
- Minas Gerais tem 10 vacinas em pesquisa nas universidades
- Entenda as regras de prote��o contra as novas cepas
- Como funciona o 'passaporte de vacina��o'?
- Os protocolos para a volta �s aulas em BH
- Pandemia, epidemia e endemia. Entenda a diferen�a
- Quais os sintomas do coronav�rus?
